الصحة العالمية تدعو أوروبا إلى “تحرك عاجل” لمكافحة جدري القرود
دعت منظمة الصحة العالمية، الدول الأوروبية إلى “تحرك عاجل” للحد من تفشي جدري القرود، على خلفية ازدياد عدد المصابين ثلاثة أضعاف منذ أسبوعين في القارة.
وطالب المدير الإقليمي للمنظمة في أوروبا هانس كلوغه، في بيان، الدول الأوروبية بـ”ضرورة تكثيف جهودها في الأسابيع والأشهر المقبلة لتجنب توطن جدري القرود في منطقة جغرافية أكبر”.
وقال في بيانه: “يتعين التحرك العاجل والمنسق إذا أردنا إحداث تغيير في السباق ضد تفشي المرض”.
وأفادت معطيات منظمة الصحة أن أوروبا سجلت أكثر من 4500 إصابة مؤكدة، أي أكثر بثلاثة أضعاف مما سجل في منتصف يونيو/ حزيران الماضي، ما جعل القارة “بؤرة” لانتشار المرض.
ويشكل هذا العدد 90 في المئة من الإصابات التي أحصيت في العالم منذ منتصف مايو/ أيار الماضي، حين بدأ المرض الذي كان محصورا بعشر دول إفريقية.
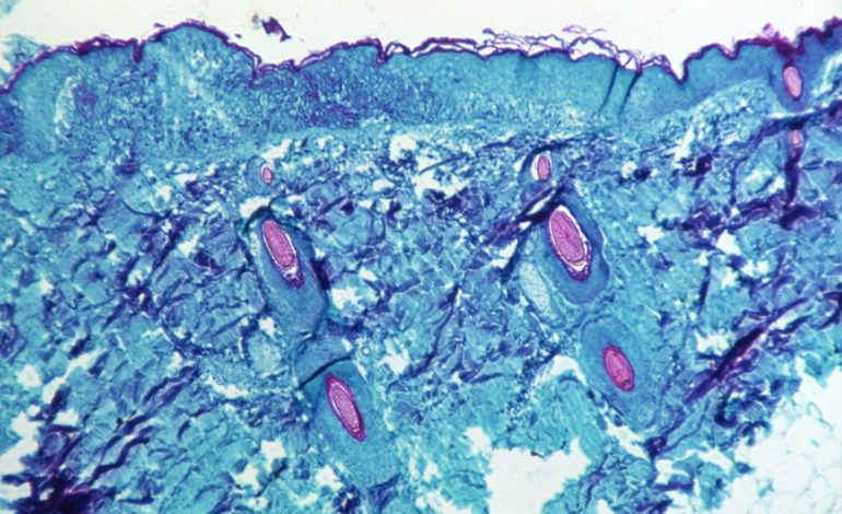
وتظهر أعراض المرض على هيئة حمى وتضخم الغدد الليمفاوية وآلام في العضلات والتهاب حلق، إضافة إلى الإرهاق والقشعريرة وطفح جلدي يشبه جدري الماء على اليدين والوجه وباطن القدمين والأعضاء التناسلية وغيرها من أجزاء الجسم.
واكتشف جدري القرود أول مرة عام 1958 عندما ظهر مرض يشبه الجدري في قرود أحد المختبرات، ومن هنا أُخذت هذه التسمية.
